GAM MitoCan

Project Overview
University
Year
About
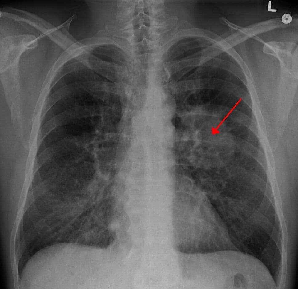
GAM MitoCan repurposes the investigational drug gamitrinib TPP hexafluorophosphate as a targeted IV therapy for non-small-cell lung cancer (NSCLC). Patients are prescreened for mitochondrial dysfunction through minimally invasive biopsies and blood tests to identify likely responders. As a mitocan therapy, GAM MitoCan selectively disrupts tumour cell mitochondria while sparing healthy tissue. Early use is expected to help patients who do not benefit from immunotherapy, offering a precision option to reduce tumour burden, minimise toxicity, and improve outcomes
Team
Gallery


